Fallbeispiele
Hier sehen Sie einige Behandlungsbeispiele, jeweils vor und nach der Behandlung:
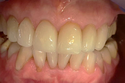
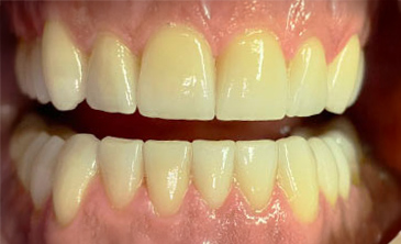
Oberkieferfront mit Rekonstruktion der Eckzahnführung:
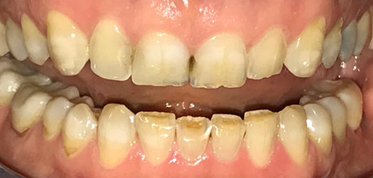
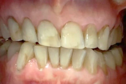
Komplexe Rehabilitation mittels Bisshebung:
Fallbeispiele
Hier sehen Sie einige Behandlungsbeispiele, jeweils vor und nach der Behandlung:
Oberkieferfront mit Rekonstruktion der Eckzahnführung:
Komplexe Rehabilitation mittels Bisshebung: